Viêm phế quản

Hiểu thêm về tiêu chuẩn chẩn đoán viêm phế quản ở trẻ em.
Feb

26

Hiểu thêm về tiêu chuẩn chẩn đoán viêm phế quản ở trẻ em.

Viêm phế quản cấp tính ở trẻ là tình trạng viêm nhiễm cấp tính niêm mạch phế quản. Viêm phế quản cấp tính có thể khỏi hoàn toàn và không để lại di ...

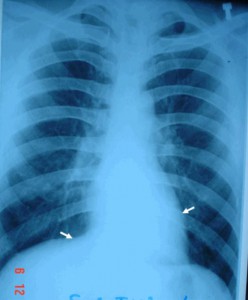
Những điều cần biết về chụp X-Quang viêm phế quản ở trẻ em
Feb

28

Những điều cần biết về chụp X-Quang viêm phế quản ở trẻ em

Viêm nhiễm đường hô hấp là bệnh phổ biến ở trẻ em. Những dấu hiệu trên lâm sàng của những bệnh này tương đối giống nhau. Nên xét nghiệm là điều ...

Xóa bỏ nỗi lo mang tên Viêm phế quản ở trẻ bằng các loại thuốc sau!
Feb

28

Xóa bỏ nỗi lo mang tên Viêm phế quản ở trẻ bằng các loại thuốc sau!

Thuốc là điều không thể thiếu để điều trị Viêm phế quản trẻ em. Dù điều trị bằng thuốc Tây y hay Đông y thì mẹ cũng cần hiểu về những loại thuốc ...

Giải mã: Viêm phế quản ở trẻ bao lâu thì khỏi?
Feb

17

Giải mã: Viêm phế quản ở trẻ bao lâu thì khỏi?

Mặc dù, viêm phế quản là bệnh phổ biến ở trẻ. Cách điều trị viêm phế quản ở trẻ được mẹ thuộc lòng, nhưng mẹ đừng chủ quan. Bài viết sau đây ...

Bé bị viêm phế quản kèm tiêu chảy ư? CHUYỆN NHỎ!
Feb

14

Bé bị viêm phế quản kèm tiêu chảy ư? CHUYỆN NHỎ!

Viêm phế quản ở trẻ nhỏ thường xuyên “ghé thăm” vào giai đoạn phát triển quan trọng của trẻ nhỏ. Tuy nhiên viêm phế quản còn có thể “rủ” thêm đi ...

Bé ho có đờm trong viêm phế quản – có nên lo lắng?
Feb

13

Bé ho có đờm trong viêm phế quản – có nên lo lắng?

Triệu chứng được gặp nhiều nhất trong viêm phế quản ở bé là ho có đờm. Mặc dù nó gây ra không ít những phiền toái, nhưng thông qua màu sắc là tính chất ...

Đơn thuốc viêm phế quản trẻ em – nhiều điều mẹ chưa biết!
Feb

08

Đơn thuốc viêm phế quản trẻ em – nhiều điều mẹ chưa biết!

Viêm phế quản ở trẻ em là bệnh thường gặp, tuy nhiên bệnh có thể tự khỏi, nhưng đôi khi những triệu chứng “khó chịu” của nó có thể tiến triển ...

Khám phá bí ẩn: Trẻ viêm phế quản có nên uống nước cam không?
Feb

01

Khám phá bí ẩn: Trẻ viêm phế quản có nên uống nước cam không?

Có nhiều quan điểm cho rằng nước cam có thể làm nặng hơn tình trạng ho đờm của những trẻ đang bị viêm phế quản. Vậy thì đâu là sự thật về vấn đề ...

5 món ăn “ngon khó cưỡng” dành cho trẻ bị viêm phế quản
Feb

01

5 món ăn “ngon khó cưỡng” dành cho trẻ bị viêm phế quản

Khi bị viêm phế quản, việc ăn uống của trẻ dường như diễn ra rất khó khăn. Lý do là bởi khi đó trẻ cảm thấy rất khó chịu ở đường thở cộng với ...

Giải đáp tường tận: Trẻ bị viêm phế quản uống nước dừa được không?
Feb

01

Giải đáp tường tận: Trẻ bị viêm phế quản uống nước dừa được không?

Nước dừa từ trước đến nay vẫn được xem là thức uống hấp dẫn cho nhiều đối tượng bởi sự lành tính, giàu vitamin và có lợi cho sức khỏe. Tuy nhiên ...